Surgical Microscope

At Colonnade Dental, microscope enhanced dentistry is offered to all our patients at no additional cost because we believe that our patients deserve the very best.

Why are surgical microscopes important in dentistry?

  • Enhanced visibility during treatment (up to 12X magnification) = better precision care = better outcome
  • Micro dental procedures can be performed with ease
  • Minor issues are identified earlier and can be corrected before they become major problems
  • Integrated lighting provides shadow-free visualization, especially at higher levels of magnification
  • Live video feed of procedure with image capture
  • Better patient communication and education
  • Simplified communication with third-party providers

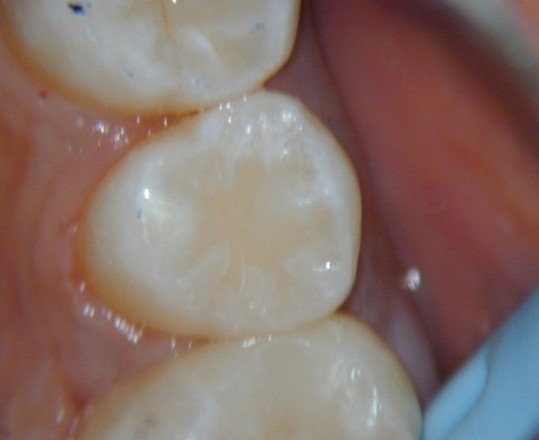
Microscope enhanced dentistry in action…

Even at low magnification (3X) the presence of a cavity is not obvious

At 8X magnification, the presence of a cavity becomes apparent

The presence of a cavity is now confirmed...

and the tooth is restored with maximum conservation of tooth structure

Colonnade Dental - Dr. Vincent How